#2078
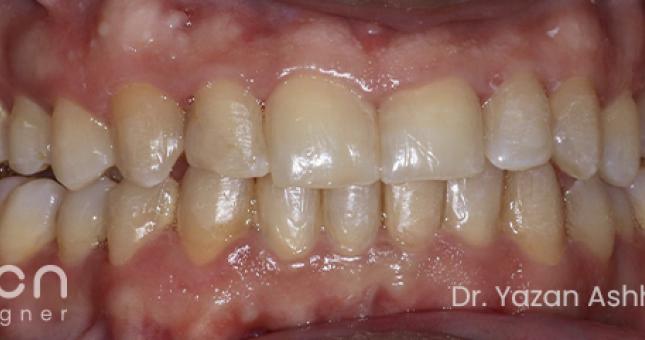
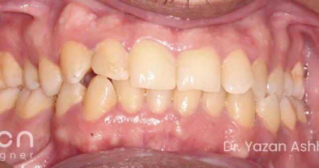
Concern of reverse overjet. Class III elastics and lower distalization on molars using 50% protocol to prevent that and to create space.
Crowding
Treatment Duration:
36 Months
Wear Cycle:
2 weeks
Initial Steps
U:37
L:48
L:48
Refinement Steps
U:30
L:30
L:30
IPR:
Used
Treatment Package:
Pro
Dr. Yazan Ashhab - Dr. Yazan's clinic
Has 5 years of experience with Eon Aligner Dr. Yazan works at Dr. Yazan's clinic in Jerusalem