#2076
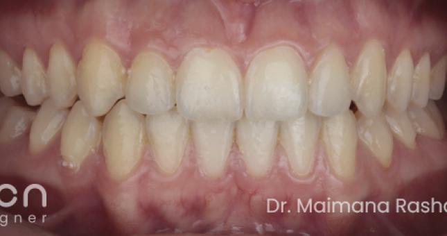
Anterior open bite treated with posterior intrusion and bite jump and TADs as well as anterior extrusion
Open Bite
Treatment Duration:
14 Months
Wear Cycle:
1 Week
Initial Steps
U:32
L:32
L:32
Refinement Steps
U:30
L:24
L:24
IPR:
Used
Treatment Package:
Plus
Dr. Maimana W. Rashdan - Rashdan Dental and Implant Centre.
Has 10+ years of experience with Eon Aligner and works at Rashdan Dental and Implant Centre.