#2068
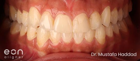
Class I, Crowded lower arch, Malaligned upper teeth
Class I
Treatment Duration:
8 Months
Wear Cycle:
1 Week
Initial Steps
U:19
L:19
L:19
Refinement Steps
U:8
L:16
L:16
IPR:
Used
Treatment Package:
Plus
Dr. Mustafa Haddad - Royal Clinics

