#2056
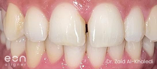
Class I, Spacing in upper arch, Crowding in lower arch
Class I
Diastema
Treatment Duration:
3 Months
Wear Cycle:
1 Week
Initial Steps
U:14
L:14
L:14
IPR:
Used
Treatment Package:
Plus
Dr. Zaid Abdel Rahman Al-Khaledi -

