#2054
1/4 unit Class II canine relationship left side, Crowding, Deep Bite, Scissor Bite on upper right second molar, Class II & Cross elastics were used
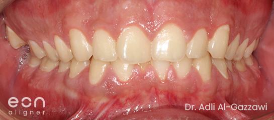
Class I
Crowding
Deep Bite
Treatment Duration:
10 Months
Wear Cycle:
1 Week
Initial Steps
U:34
L:24
L:24
Refinement Steps
U:12
L:12
L:12
IPR:
Used
Treatment Package:
Pro
Dr. Adli Al-Gazzawi - Dr Adli Al-Gazzawi Dental Center
Dr. Adli has 4 years of experience with Eon Aligner and works at Dr Adli Al-Gazzawi Dental Center

