#1030
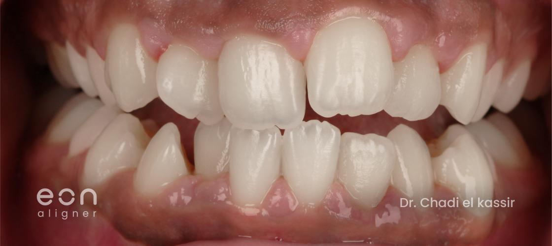
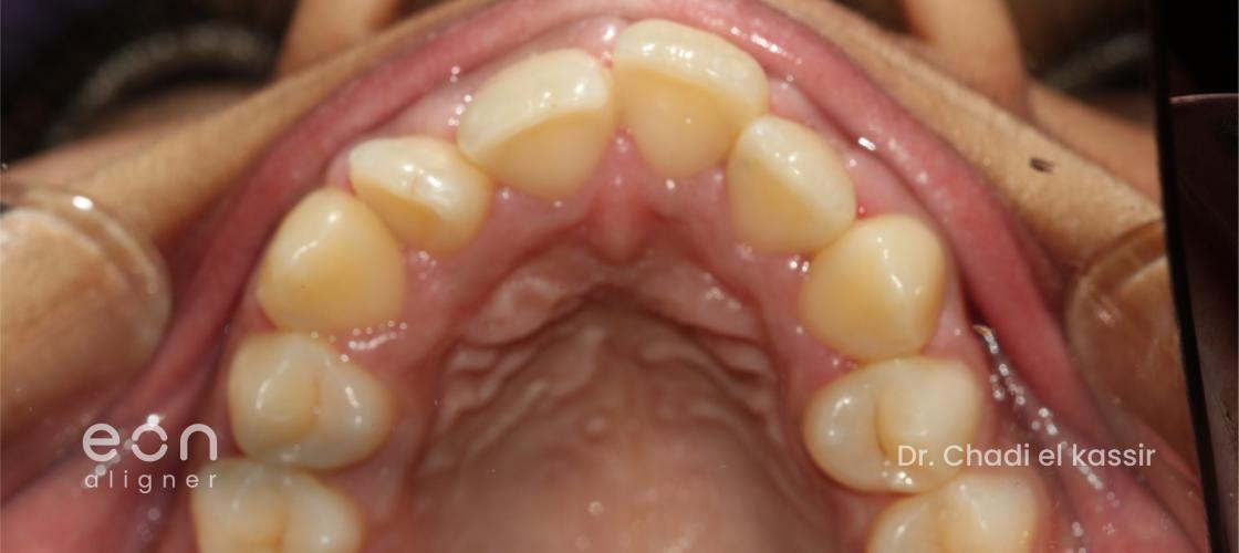
Severe Crowding of both arches, Rotated upper lateral incisors, alignment of lower right lateral and canine
Crowding
Crossbite
Treatment Duration:
27 Months
Wear Cycle:
2 Weeks
Initial Steps
34 Upper
26 Lower
26 Lower
Refinement Steps
20 Upper
20 lower
20 lower
IPR:
Used
Treatment Package:
Pro
Dr. Chadi el Kassir - Easy Dental Clinics
Has 5 years of experience with Eon Aligner Dr. Chadi el kassir works at Easy Dental Clinics in Kuwait

